创生命奇迹!CCU团队成功复苏心跳骤停63分钟患者
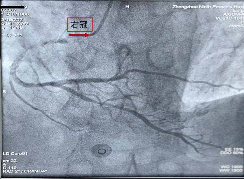
3月10日03:37分,当大家还在睡梦中时,一名55岁男性患者到达郑州市第九人民医院急诊科就诊。到院时患者持续性胸闷,难以忍受,追问病史已有症状数天。急诊科考虑患者急性心肌梗死立即联系胸痛中心并与家属沟通后单绕CCU后将病人送入了导管室。患者造影显示:冠心病、三支血管病变、前降支近中段80-90%狭窄、第一对角支完全闭塞、回旋支99%弥漫性狭窄、右冠全程弥漫性病变、左室后支完全闭塞。血管病变极其严重,心功能极差(LVEF21%),病死率极高,但心血管介入中心团队依然冒着风险在赵明中主任指导下,由CCU杜明远、张超医师完成了这台高危手术。
图:患者造影结果
术后患者被送往CCU继续监测治疗。到达科室后患者出现胸闷、呼吸困难,面色青白、口唇紫绀,两肺满布干湿性啰音,指脉氧下降至89%,06:45突然出现呼吸心跳骤停,意识丧失,命悬一线!值班医师王彩歌及手术医师杜明远和值班护士立即对患者进行气管插管、胸外心脏按压等抢救措施,心脏中心赵明中主任、CCU余娟主任接到急救电话后紧急到达科室指挥抢救,杜明远医师快速完成桡动脉穿刺及颈内静脉穿刺置管,其他成员完成多次反复电除颤、药物升压、纠正心律失常、呼吸参数调整、床旁心脏彩超检查……CCU医护团队所有的抢救工作紧张有序地进行,医护人员各司其责,大家都很清楚,这是在与死神赛跑,需分秒必争。复苏20分钟后,患者仍未恢复自主心律,自主循环不能维持,瞳孔开始散大,此时患者病情已经十分凶险,陷入了深度昏迷状态,心率0、血压和指脉氧均测不出。为保证获得最佳治疗效果,余娟、赵明中主任当机立断启动ECMO(体外膜肺氧合)。在等待ECMO抢救组到来期间,CCU医护团队抢救不停歇,为保证有效心肺复苏,全科医护人员不间断地竭尽全力进行心脏按压,终于在07:48分,即抢救63分钟后患者心跳恢复,血氧饱和度逐渐维持在90%左右,血压在升压药物维持下71/50mmHg,生命体征仍不稳定,意识仍然处于深昏迷状态。此时ECMO抢救组也已迅速到位并顺利植入,植入后患者生命体征逐渐稳定,血压回升至87/57mmHg,指脉氧升至98%,自主循环初步稳定。目前患者病情正在逐步恢复中。
图:患者植入ECMO后
这场生死营救,虽然是CCU医护团队日常工作的一个缩影,但抢救成功的背后,既需要CCU团队硬核技术的支撑,也需要患者家属对疾病的充分认识和良好的配合。心脏中心赵明中主任谈到 “时间就是心肌、时间就是生命”,当发生胸痛不适时应及早来医院就诊,切不可在家耽误。急性心肌梗死后,需快速至具有急诊PCI( 冠状动脉血运重建术)条件的医院就医,可使得患者闭塞的血管得以再通,促使缺血心肌组织及早获得血流灌注和功能恢复,才可以大大提高心肌梗死患者的抢救成功率。
(内科第二党支部:ccu 李慧敏)




